
目次
歯に金属の詰め物を長期間使用した場合に起こり得る全身へのリスクとは?
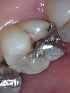
歯科治療で使用される金属の詰め物(いわゆる“銀歯”)。
しっかり噛めるようになる反面、長期間お口の中に存在し続けることで、知らないうちに全身へ影響を及ぼす可能性があります。
今回は、金属の詰め物が長期経過すると、身体にどのようなリスクが生じることがあるのかを、わかりやすく解説します。
1. 金属イオンが溶け出す可能性
銀歯に使われる金属は、
-
銀
-
パラジウム
-
ニッケル
-
スズ
など複数の金属が混ざった“合金”です。
これらは長期間、唾液・熱・摩耗にさらされることで、微量の金属イオンが溶け出すことがあります。
金属イオンは体内に吸収される可能性があり、以下の症状を引き起こすことがあります。
-
口内炎が繰り返しできる
-
舌のピリピリ感
-
味覚異常
-
慢性疲労
-
頭痛・肩こり
特に、アレルギー体質の方は敏感に反応するケースがあります。
2. 金属アレルギーの発症・悪化
金属アレルギーは、皮膚に直接金属を触れたときだけでなく、口の中の金属からも発症することがあります。
詰め物から溶けた金属イオンが血流に乗ることで、
-
手足の湿疹
-
かゆみ
-
皮膚炎
-
全身のだるさ
など、口とは離れた部位に症状が現れることもあります。
皮膚科で原因不明の湿疹が続く場合、歯科治療で使った金属が原因だったという例も珍しくありません。
3. 咬合バランスの変化による全身症状
金属の詰め物は、経年劣化によって少しずつ摩耗したり、歯と金属の境目に段差ができたりします。
このような変化が重なると、噛み合わせに影響し、結果的に全身へ負担がかかることがあります。
起こり得る症状:
-
顎の痛み(顎関節症)
-
頭痛
-
首・肩こり
-
姿勢の乱れ
-
食いしばりの悪化
噛み合わせは全身のバランスと関連しているため、古い銀歯が原因となるケースもあります。
4. 金属が原因の炎症による免疫負担
詰め物と歯の境目が劣化すると、細菌が侵入しやすくなり、虫歯の再発や歯周病リスクが上がります。
慢性的な炎症が続けば、
-
免疫力の低下
-
全身の炎症反応の増加
-
生活の質の低下
など、身体全体に影響が及ぶことがあります。
まとめ
金属の詰め物は長年使えるメリットがある一方、
経年劣化や金属の溶出による全身への影響はゼロではありません。
・最近原因不明の不調がある
・皮膚科の治療が長引いている
・古い銀歯がたくさんある
という方は、一度歯科でチェックしてみることをおすすめします。
セラミックなどの金属を使わない素材に置き換えることで、リスクが軽減されるケースもあります。





