WEB予約はこちら
東京都新宿区西新宿4丁目14−3 ライフコーポ土屋 2F

審美治療|ブログ|西新宿・西新宿5丁目の歯医者|新宿セントラルパーク歯科|インビザライン

WEB予約

審美治療

歯の白濁(ホワイトスポット)の治療「ICON(アイコン)」とは?

歯の白濁(ホワイトスポット)の治療「ICON(アイコン)」とは? 歯の表面にできる“白い斑点”や“白濁(ホワイトスポット)”は、見た目が気になりやすい審美的な悩みの一つです。この白濁は、初期むし歯(エナメル質脱灰)や矯正…

ホワイトニングで歯は痛まないの?

ホワイトニングで歯が弱くなることはありません 「ホワイトニングをすると歯がスカスカになったり、弱くなったりしませんか?」という質問をよくいただきます。結論から言うと、正しい方法で行うホワイトニングで歯が弱くなることはあり…

見た目も強さも両立!ジルコニアのメリットとは

見た目も強さも両立!ジルコニアのメリットとは 近年、被せ物や詰め物などの歯の治療に「ジルコニア」という素材が多く使われるようになっています。 ジルコニアは“人工ダイヤモンド”とも呼ばれるほど強度が高く、金属を使わない白い…

歯肉のレーザーによる色素沈着除去とは?

歯肉のレーザーによる色素沈着除去とは? 笑ったときに見える歯ぐきの色が黒っぽく見えることはありませんか?これは「メラニン色素」と呼ばれる成分が歯肉に沈着していることが原因です。メラニンは本来、紫外線などから体を守るために…

歯の不自然な白さとは?自然な白さとの違いを解説

歯の不自然な白さとは?自然な白さとの違いを解説 最近は、ホワイトニングやセラミック治療で歯を白くする方が増えています。 しかし中には、「白すぎて浮いて見える」「人工的な感じがする」といった、不自然な白さに仕上がってしまう…

歯の正中(せいちゅう)のズレとは?

歯の正中(せいちゅう)のズレとは? 鏡を見たときに、上の前歯の真ん中と下の前歯の真ん中の位置がずれていることはありませんか?この“真ん中のズレ”を「正中のズレ(せいちゅうのずれ)」といいます。 正中がずれていると、見た目…

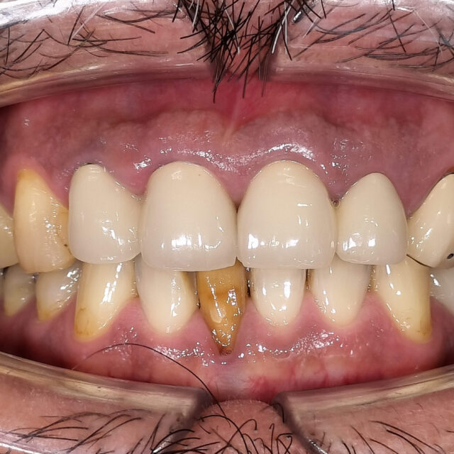
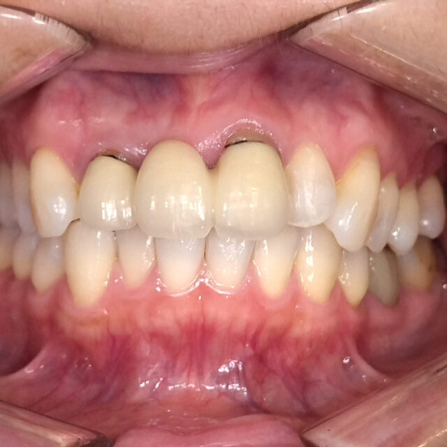
ブラックマージンとは?

ブラックマージンとは? 「ブラックマージン」とは、差し歯や被せ物(クラウン)と歯ぐきの境目が黒く見えてしまう状態のことを指します。笑ったときに歯ぐきのラインが黒く見えるため、見た目が気になるというご相談を多くいただきます…

歯が多く見えるのはなぜ?原因と治療法を解説します

歯が多く見えるのはなぜ?原因と治療法を解説します 笑った時や話している時に「歯が多く見える気がする」と感じたことはありませんか?実はこれは、歯の本数が多いというよりも、「歯の見え方」に関係するバランスの問題であることが多…

ホワイトニング後の注意事項|白さを長持ちさせるために知っておきたいポイント

ホワイトニング後の注意事項|白さを長持ちさせるために知っておきたいポイント ホワイトニングを行うと、歯の表面にある着色が分解され、白く透明感のある歯になります。しかし、施術直後の歯はとてもデリケートな状態です。せっかく手…

自宅で手軽に白い歯へ!ホームホワイトニングの魅力とは?

自宅で手軽に白い歯へ!ホームホワイトニングの魅力とは? 歯の黄ばみが気になるけれど、「忙しくて通院の時間が取れない」「できるだけ自然に白くしたい」という方におすすめなのがホームホワイトニングです。ご自宅でマウスピースと専…

1 2 3 4
pagetop