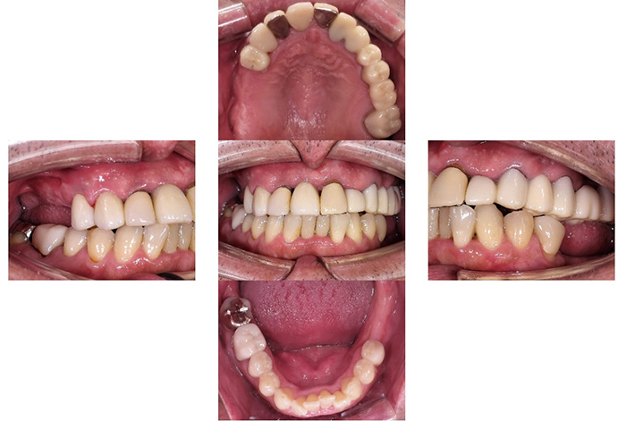
Before
After
※治療効果には個人差があります。
※自由診療です。
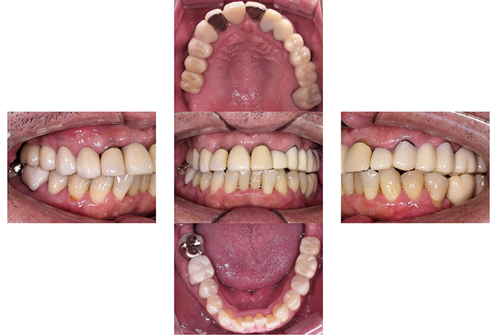
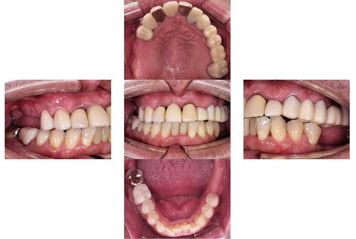
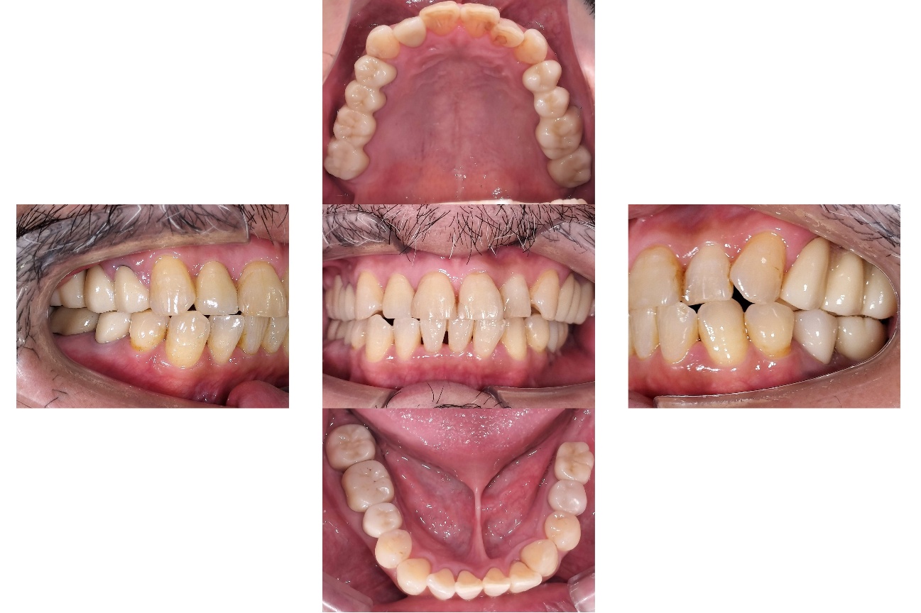
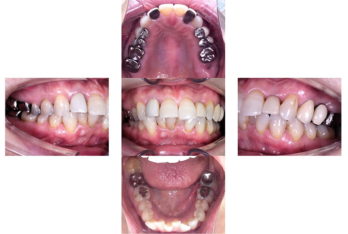
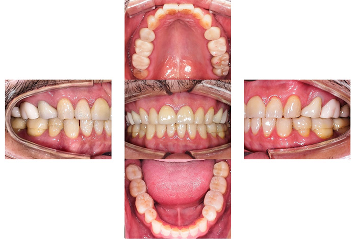
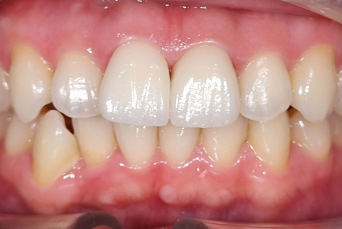
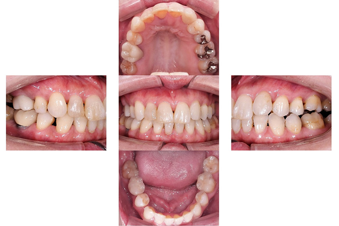
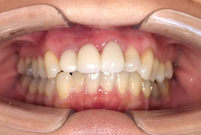
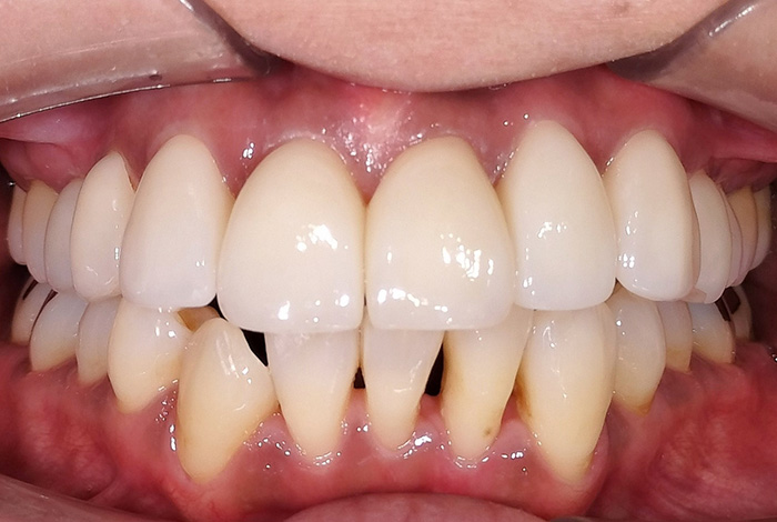
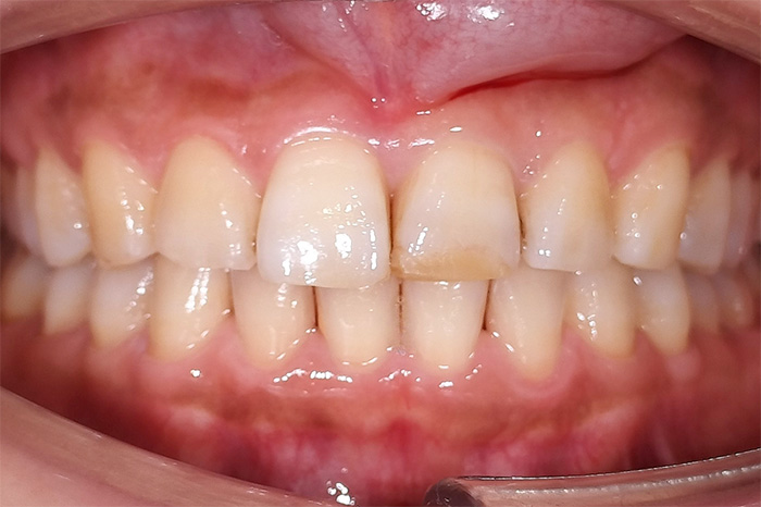
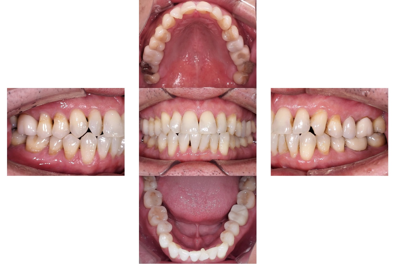
前歯の見た目と噛み合わせのバランスを整えたケース
「前歯が強くかみ込んでいる気がする」「歯並びだけでなく、噛み合わせも気になる」
このようなお悩みでご相談いただくことがあります。
今回の患者様は、ディープバイト(過蓋咬合)による前歯の見た目と噛み合わせを気にされて来院されました。ディープバイトとは、上の前歯が下の前歯に深く重なっている噛み合わせのことで、見た目の問題だけでなく、前歯や顎への負担につながることがあります。
本症例では、マウスピース型矯正装置(インビザライン)を用いて治療を行いました。合計84枚のアライナーを使用し、歯並びだけでなく咬合の深さにも配慮しながら治療を進めました。
治療後は、前歯の見た目のバランスが整い、噛み合わせも改善しました。
当院では、見た目を整えるだけではなく、治療後の噛み合わせまで考慮した矯正治療を大切にしています。
Before
After
※別途、追加アライナー作製費、保定装置料等がかかる場合があります。
※治療効果には個人差があります。
※自由診療です。
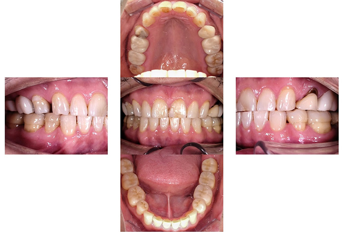
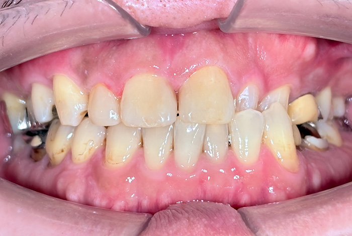
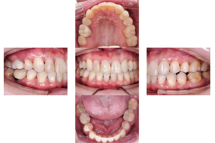
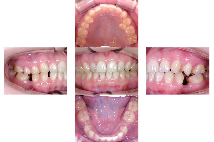
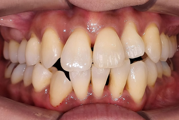
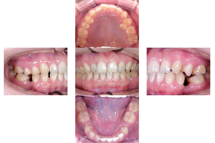
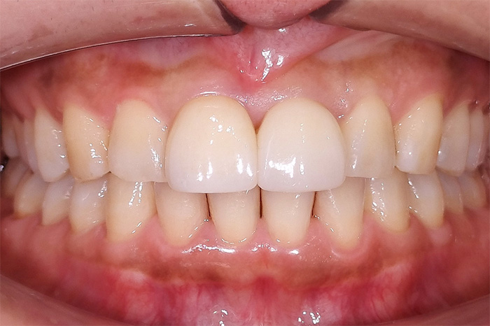
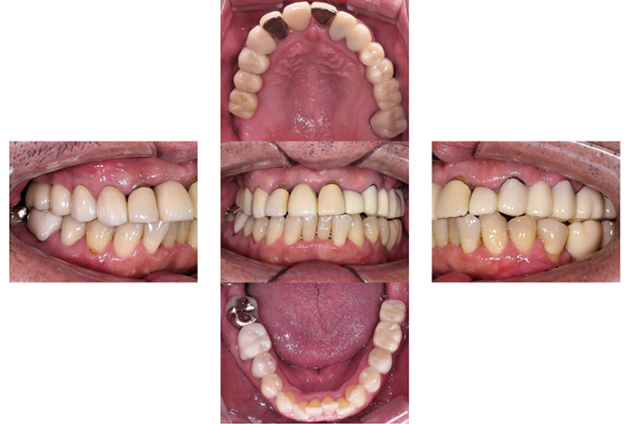
インビザラインによる全体矯正後に補綴治療を行い、咬合と審美性を総合的に改善した症例です。
まずマウスピース型矯正装置(インビザライン)により歯列および咬合関係を整え、その後、必要部位にジルコニア補綴を行いました。
矯正のみ・補綴のみではなく、両治療を組み合わせることで機能性と審美性の両立を目指した包括的治療です。
Before
After
【矯正治療】マウスピース型矯正装置(インビザライン)による全顎矯正
【補綴治療】詳細は表内の費用欄に掲載
【矯正治療】10か月
【補綴治療】約5か月
【矯正治療】12回
【補綴治療】14回
【矯正治療】¥957,000(税込)
※保定装置代等が別途必要となる場合があります。
【補綴治療】
※検査・仮歯代等が別途必要となる場合があります。
【矯正治療】
【補綴治療】
※治療効果には個人差があります。
※適応の可否についてはカウンセリング時に十分ご説明いたします。
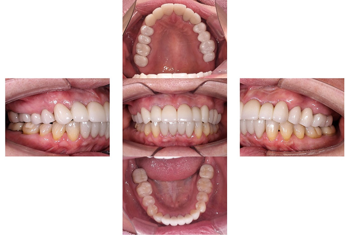
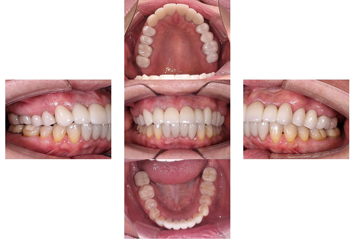
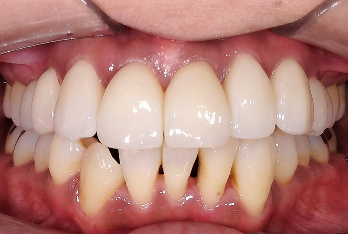
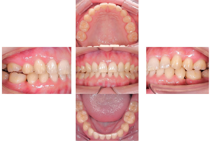
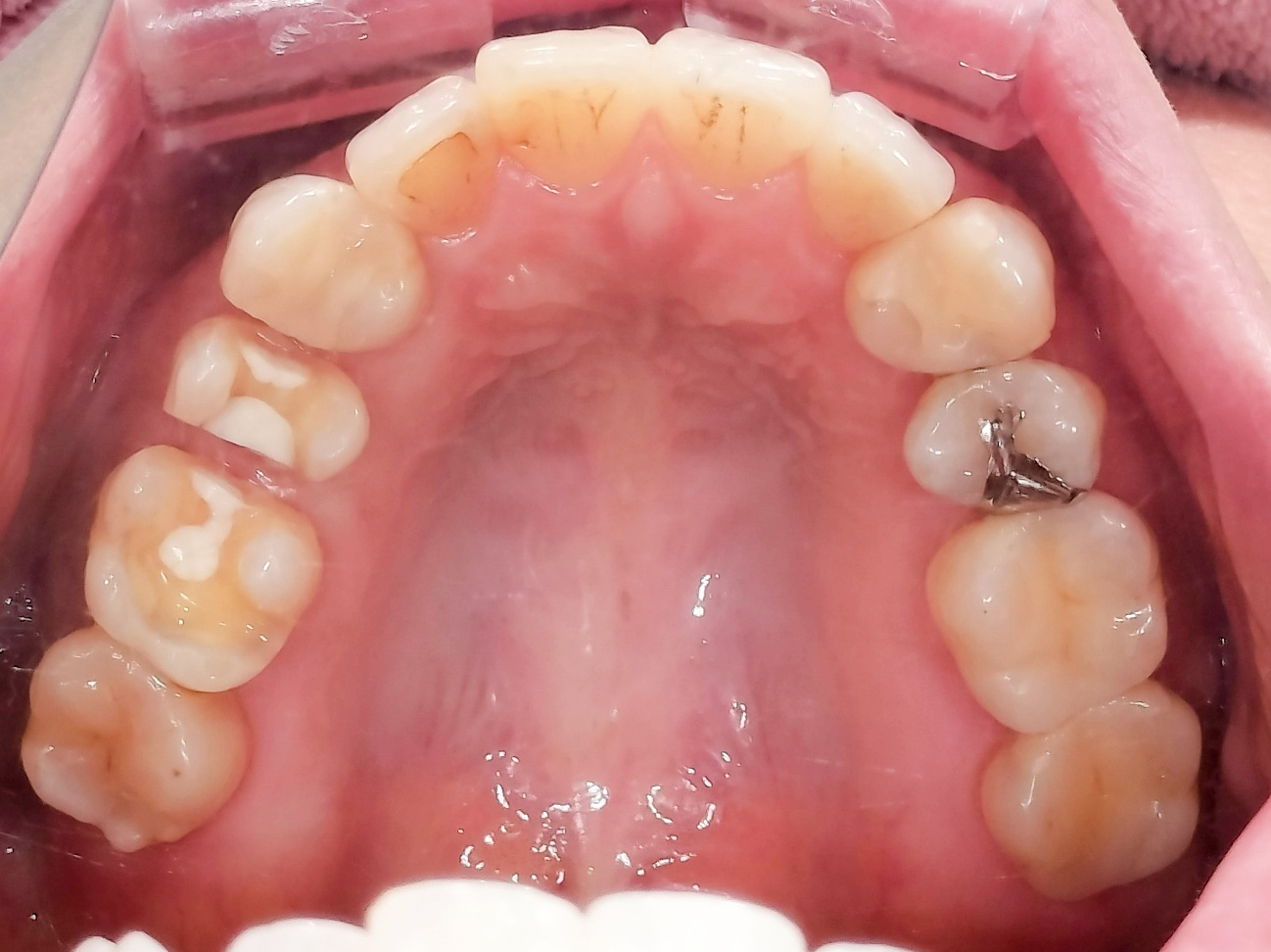
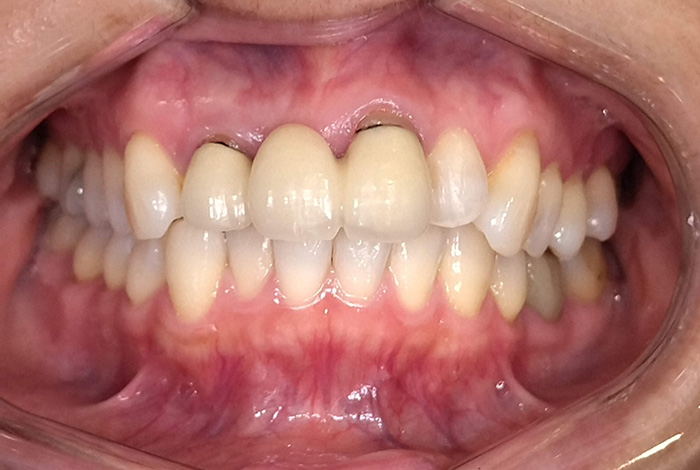
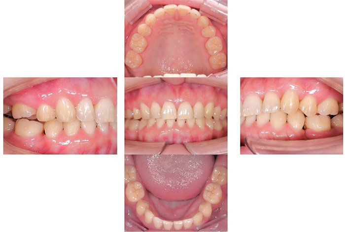
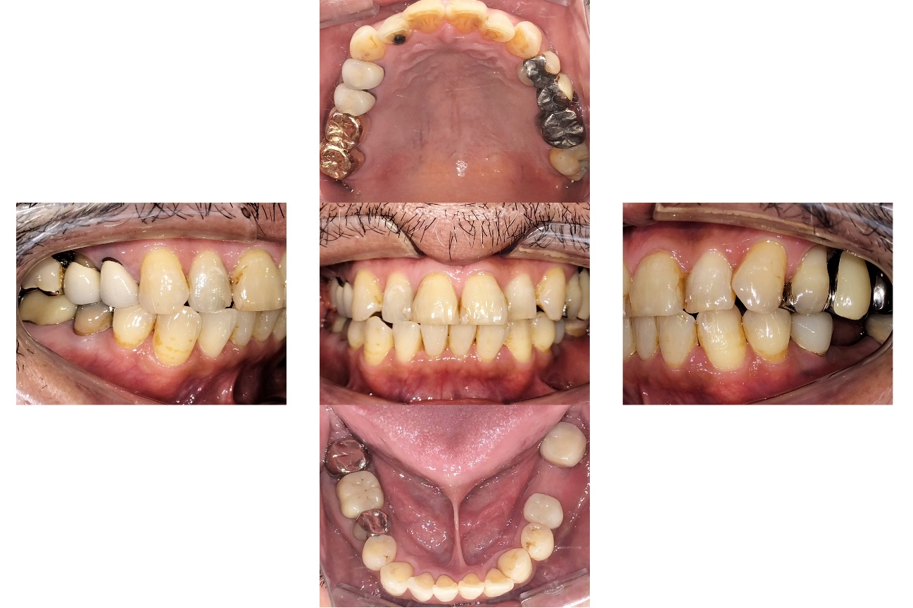
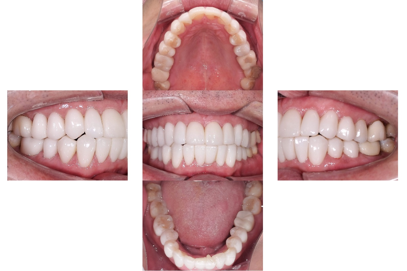
奥歯の噛み合わせと前歯の歯並びを同時に改善した症例(インビザライン+ジルコニア)
【治療前の状態】
患者様は、奥歯でしっかり噛めないことと、前歯の歯並びの乱れを気にされ来院されました。診査の結果、前歯部の叢生(歯並びの乱れ)と、臼歯部の離開咬合(奥歯がしっかり噛み合っていない状態)が認められました。また、臼歯部には古い金属修復物が装着されており、機能面だけでなく審美面においても改善が必要な状態でした。
【治療後】
前歯の歯並びが整い、見た目の改善が認められました。また、奥歯でしっかり噛める状態となり、咬合機能の回復が得られています。
【治療のポイント】
本症例では、歯並びの改善だけでなく、噛み合わせの回復と審美性の向上を同時に行っています。当院は一般歯科と矯正治療の両方に対応しているため、矯正治療後に別の医療機関で補綴治療を行う必要がなく、一貫した治療計画のもとで治療を完結することが可能です。また、奥歯の噛み合わせを矯正治療のみで改善する場合、治療期間が長くなることがありますが、本症例では補綴治療(アンレー)を併用することで、比較的短期間で咬合の改善を行いました。さらに、古い金属修復物をジルコニアに置き換えることで、見た目の改善と機能性の両立を図っています。
Before
After
以下の治療を組み合わせて行いました。
歯並びの改善と同時に、奥歯の咬合関係の改善を行っています。
※別途、検査費・処置費等がかかる場合があります。
※症例により費用が異なる場合があります。
※自由診療です。
※治療結果には個人差があります。
右上臼歯部2本・左下臼歯部2本にインプラント治療を行った症例です。
欠損部に対しインプラントを埋入し、咀嚼機能の回復と咬合バランスの改善を行いました。周囲歯への負担を抑えながら、固定性のある補綴装置により安定した噛み心地を目指した治療です。
Before

After

【右上臼歯部インプラント治療】インプラント埋入手術および上部構造装着(2本)
【左下臼歯部インプラント治療】インプラント埋入手術および上部構造装着(2本)
【右上臼歯部インプラント治療】約4か月
【左下臼歯部インプラント治療】約3か月
【右上臼歯部インプラント治療】8回
【左下臼歯部インプラント治療】8回
【右上臼歯部インプラント治療】1本 ¥555,500(税込)
※本症例は2本
※検査・CT撮影費・骨造成費等が別途必要となる場合があります。
【左下臼歯部インプラント治療】1本 ¥555,500(税込)
※本症例は2本
※検査・CT撮影費・骨造成費等が別途必要となる場合があります。
※治療効果には個人差があります。
※適応の可否についてはカウンセリング時に十分ご説明いたします。
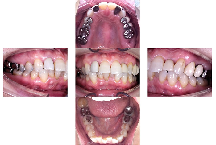
欠損部のインプラント治療と金属修復をセラミックへ置き換えた包括的治療症例
Before
After
患者様は、左下の欠損部の改善と、口腔内にある金属修復物を白い材質に変更したいとのご希望で来院されました。
診査の結果、
が認められました。
機能的回復と審美性の改善の両面から、包括的な治療が必要な状態でした。
以下の治療を行いました。
咬合の回復と審美性の改善を同時に行いました。
本症例では、機能性と審美性のバランスを考慮した材料選択を行っています。
奥歯については、咬合力が強くかかるため、色調よりも強度を優先し、ジルコニアスタンダードを使用しました。
一方で前歯部は、周囲歯との色調調和が重要であるため、より審美性に優れたジルコニアプレミアムを選択しています。
また、欠損部にはインプラント治療を行うことで、周囲の歯に負担をかけずに咬合機能の回復を図っています。
口腔内全体を一つの単位として治療計画を立てることで、機能面・審美面ともにバランスの取れた結果を目指しました。
欠損部の咬合が回復し、奥歯でしっかり噛める状態となりました。
また、金属修復物がセラミックに置き換わることで、口腔内全体の審美性が向上しています。
約4か月
15回
※別途、検査費・処置費等がかかる場合があります。
※症例により費用が異なる場合があります。
※自由診療です
※治療結果には個人差があります
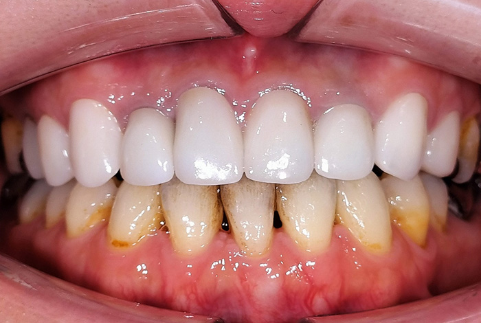
前歯の歯ぐきの黒ずみが気になる・ブラックマージンをジルコニアプレミアムブリッジで改善した症例
「前歯の被せ物の根元が黒く見える」「歯そのものより、歯ぐきとの境目が気になる」
このようなお悩みで来院される方は少なくありません。
今回の患者様は、前歯の歯ぐきが変色してきたことを気にされて来院されました。診査の結果、既存の硬質レジン前装冠ブリッジの周囲にブラックマージンが認められ、前歯部の見た目に影響している状態でした。
そこで、右上2番から左上1番のブリッジをジルコニアプレミアムで再治療しました。ジルコニアは審美性と強度のバランスに優れた素材で、前歯部の自然感に配慮した修復が可能です。
治療後は、歯ぐきとの境目の黒ずみが改善し、前歯の印象がより明るく自然に見えるようになりました。前歯のブラックマージンは、古い被せ物や土台、歯ぐきの変化など、複数の要因が関わることがあります。
当院では、単に白い歯を入れるだけでなく、歯ぐきとのバランスや口元全体の見え方も考慮しながら治療を行っています。
Before
After
ジルコニアプレミアム:1歯 ¥220,000(税込)
※本症例はブリッジ治療のため、部位・設計に応じて費用が異なります。
※別途、初診料・再診料・検査料・仮歯代等がかかる場合があります。
※治療効果には個人差があります。
※自由診療です。
下の前歯の変色に対して、オフィスホワイトニングを行った症例
こちらの患者様は、下の前歯の色の変化を気にされて来院されました。診査の結果、上の前歯にはすでにセラミック修復が行われており、下の前歯は天然歯の状態でした。
ホワイトニングでは、天然歯は白さの変化が期待できますが、セラミックなどの人工歯は基本的に白くなりません。
本症例では、オフィスホワイトニングを1回行い、天然歯である下の前歯に色調の改善がみられました。
ホワイトニングを検討される際には、天然歯と人工物が混在しているかどうかで、仕上がりの見え方が変わることがあります。
当院では、現在の歯の状態を確認したうえで、ホワイトニングが適しているか、あるいは被せ物の再治療を含めた方法がよいかを丁寧にご提案しています。
Before
After
下の前歯の変色に対して、オフィスホワイトニングを1回行った症例です。
上顎前歯のセラミックには色調変化はありませんが、天然歯である下顎前歯には白さの改善がみられました。
下顎前歯部の着色・変色
上顎前歯部には既存のセラミック修復物を認める状態
下の前歯の色調改善を目的に、オフィスホワイトニングを1回行いました。
上の前歯はすでにセラミックで治療されていたためホワイトニングによる色調変化はありませんでしたが、天然歯である下の前歯には色調の改善がみられました。
※治療効果には個人差があります。
※自由診療です。
※診査・診断の結果により、適応とならない場合があります。
歯ぎしりによる詰め物の破折と二次虫歯をジルコニアインレーで修復した症例
Before
After
また、歯ぎしりの影響により歯や修復物に強い負荷がかかっている状態でした。
今回の治療では、以下の点を重視しました。
本症例では歯ぎしりの影響で既存の充填物が破折し、二次カリエスが発生していました。
そのため、耐久性を考慮し、強度の高いジルコニアを選択しています。
ジルコニアには審美性を重視したタイプと強度を重視したタイプがあります。
今回は審美領域ではない部位であるため、多少色調差は出るものの、十分な強度を確保できるジルコニアスタンダードを選択しました。
※別途、検査費・処置費等がかかる場合があります。
※症例により費用が異なる場合があります。
※自由診療です。
※治療結果には個人差があります。
取れてしまった詰め物と金属修復をe-maxインレーで白く自然に修復した症例
Before
After
患者様は、詰め物が外れてしまった部位の治療と、既存の金属修復物を白い材料に変更したいとのご希望で来院されました。
診査の結果、右上5・6に詰め物の脱離部位、左上5に古いメタルインレーが認められました。
機能的な回復とともに、審美性の改善も必要な状態でした。
右上5・6および左上5の計3部位に対し、e-maxインレーによる修復を行いました。
e-maxはガラスセラミック素材で、透明感があり天然歯に近い色調を再現できる特徴があります。
本症例では、噛む力が比較的強くなく、歯ぎしりなどの習癖も認められなかったため、審美性に優れたe-maxインレーを選択しました。
e-maxは透明感があり、周囲の歯質と自然に調和するため、修復部が目立ちにくく、審美的に良好な仕上がりが期待できます。
また、金属修復物をセラミックに置き換えることで、見た目の改善だけでなく、口腔内の統一感の向上にもつながります。
脱離部位は適切に修復され、機能的な回復が得られました。
また、金属修復物が白いセラミックに置き換わることで、自然で違和感の少ない見た目に改善されています。
※別途、診査費・処置費等がかかる場合があります。
※症例により費用が異なる場合があります。
※自由診療です。
※治療結果には個人差があります。
前歯の変色を自然な見た目に改善した症例
古いレジンの変色に対して、ジルコニアプレミアムクラウンで修復したケース
「前歯の色が1本だけ違って見える」「昔治したところが黄ばんできた」
そのようなお悩みでご相談いただくことは少なくありません。
今回の患者様は、上の左右1番目の前歯の変色を気にされて来院されました。診査の結果、過去に修復された古いレジンの経年変色が主な原因と考えられたため、見た目と調和に配慮し、ジルコニアプレミアムクラウンで修復を行いました。
治療後は、前歯2本の色調や形態のバランスが整い、口元全体がすっきりとした印象になりました。
前歯はお顔の印象に大きく関わるため、色や形のわずかな違いでも気になりやすい部分です。
当院では、周囲の歯との調和を考えながら、できるだけ自然な見た目になるよう治療計画を立てています。
Before
After
※治療効果には個人差があります。
※自由診療です。
前歯の変色と摩耗による長さの不ぞろいを改善した審美治療症例
Before
After
【術前】:前歯の変色と歯ぎしりによる摩耗により、長さの不ぞろいがみられました。
【術後】:ジルコニアプレミアムクラウンで色調と形態を整え、自然感のある口元に改善しました。
※別途、初診料・再診料、検査料、仮歯代等がかかる場合があります。
※自由診療です
※治療結果には個人差があります
古い被せ物の変色と歯ぐきの下がりをe-maxクラウンで改善した症例
Before
After
患者様は、右下の被せ物の見た目が気になるとのことで来院されました。
診査の結果、
が認められ、審美性が損なわれている状態でした。
審美性の改善を目的として、e-maxクラウンによる修復治療を行いました。
e-maxはセラミック素材の一種で、透明感があり、天然歯に近い自然な色調を再現できる特徴があります。
※別途、検査費用・仮歯代等がかかる場合があります。
※症例により費用が異なる場合があります。
※自由診療です。
※治療結果には個人差があります。
前歯の黒ずみをダイレクトボンディングで改善
Before
After
右上前歯(1,2,3番)に対して、ダイレクトボンディングを行い、変色した部分を除去した上で審美的に修復しました。
歯を削る量を最小限に抑えながら、自然な色調・形態の回復を図っています。
ダイレクトボンディングは低侵襲で審美性に優れた治療ですが、いくつかのリスクや副作用があります。
ブラックトライアングルの改善と、歯を大きく削らず自然なボリューム改善を行ったケース
歯と歯の間のすき間(ブラックトライアングル)を改善し、全体のバランスを整えながら自然な形態へ修復しました。
歯質をできる限り温存する設計で、審美性と機能性の両立を目指した治療です。
Before
After
※治療効果には個人差があります。
※適応の可否についてはカウンセリングにて十分にご説明いたします。
歯を削らないジルコニアラミネートベニアで歯の色とすき間を改善した症例
Before
After
患者様は、歯の変色と歯ぐきが下がってきたことによる見た目の変化、歯と歯の間の隙間が広がってきたことを気にされ来院されました。
診査の結果、歯肉後退に伴うブラックトライアングル(歯と歯の間の隙間)と、歯の変色が認められました。加齢や歯肉の退縮により、審美性が低下している状態でした。
以下の部位に対して、歯を削らないジルコニアラミネートベニアによる修復を行いました。
歯質の削除を最小限に抑えながら、歯の色調および形態の改善を行っています。
本症例では、歯を削ることなく審美性を改善するため、ジルコニアラミネートベニアを選択しました。
ジルコニアは強度が高く、薄く作製しても破折しにくい特徴があるため、歯の削除量を抑えた治療が可能です。
また、歯の形態をコントロールすることで、歯と歯の間の隙間(ブラックトライアングル)を目立ちにくくし、自然な見た目へと改善しています。
歯肉退縮による審美的な問題に対して、形態と色調の両面からアプローチした症例です。
歯の色調が整い、全体的に明るく自然な印象へ改善されました。
また、歯と歯の間の隙間が目立ちにくくなり、口元の審美性が向上しています。
※別途、診査費・処置費等がかかる場合があります
※症例により費用が異なる場合があります
※自由診療です
※治療結果には個人差があります
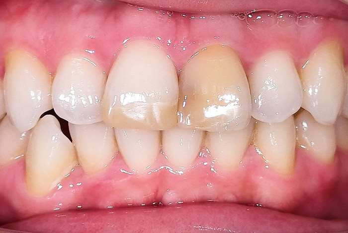
前歯の変色・歯の隙間・ブラックマージンをジルコニア治療で改善した症例
患者様は、「前歯の変色」「歯のすり減り」「奥歯の歯の隙間」「被せ物の境目の黒ずみ(ブラックマージン)」などの見た目が気になるとのことで来院されました。診査の結果、右上5・6の間に空隙/上顎前歯(11)に古いコンポジットレジン修復の変色/左上5の被せ物にブラックマージンが確認されました。
Before
After
審美性の改善を目的として以下の治療を行いました。
ジルコニアは、強度と審美性を兼ね備えたセラミック素材であり、天然歯に近い色調を再現することが可能です。
今回の治療では、以下の点を重視しました。
上顎前歯(11)のジルコニアベニアは、歯を削らずに装着できる範囲で治療を行いました。そのため、天然歯への侵襲を抑えながら審美性の改善を図っています。
左上5のブラックマージンは、金属を使用しないジルコニアクラウンに置き換えることで、歯ぐきとの境目が自然な見た目になるよう改善しました。
右上5のジルコニアクラウンによって、歯の隙間を自然な形で整えています。
※症例や歯の状態により費用が異なる場合があります。
※自由診療です
※治療効果には個人差があります。
歯の白濁(ホワイトスポット)をICON治療で改善した症例
Before
After
患者様は、歯の表面に見られる白い濁り(ホワイトスポット)を気にされ来院されました。
診査の結果、左下4・5の歯頚部付近にホワイトスポットが認められました。
ホワイトスポットは、エナメル質の脱灰などにより歯の内部構造が変化し、光の反射の違いによって白く見える状態です。
ICON(アイコン)治療を行いました。
ICONは、歯を削らずに専用の樹脂を浸透させることで、ホワイトスポットを目立ちにくくする治療法です。
歯質の侵襲を抑えながら、審美性の改善を図ることができます。
処置後は、白濁が目立ちにくくなり、周囲の歯となじんだ自然な見た目へ改善されました。
※症例により費用が異なる場合があります。
※自由診療です
※治療結果には個人差があります