WEB予約はこちら
東京都新宿区西新宿4丁目14−3 ライフコーポ土屋 2F

ブラックマージンとは?|ブログ|西新宿五丁目駅・都庁前の歯医者 – 新宿セントラルパーク歯科

WEB予約

ブラックマージンとは?

ブラックマージンとは?

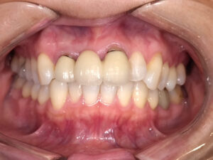
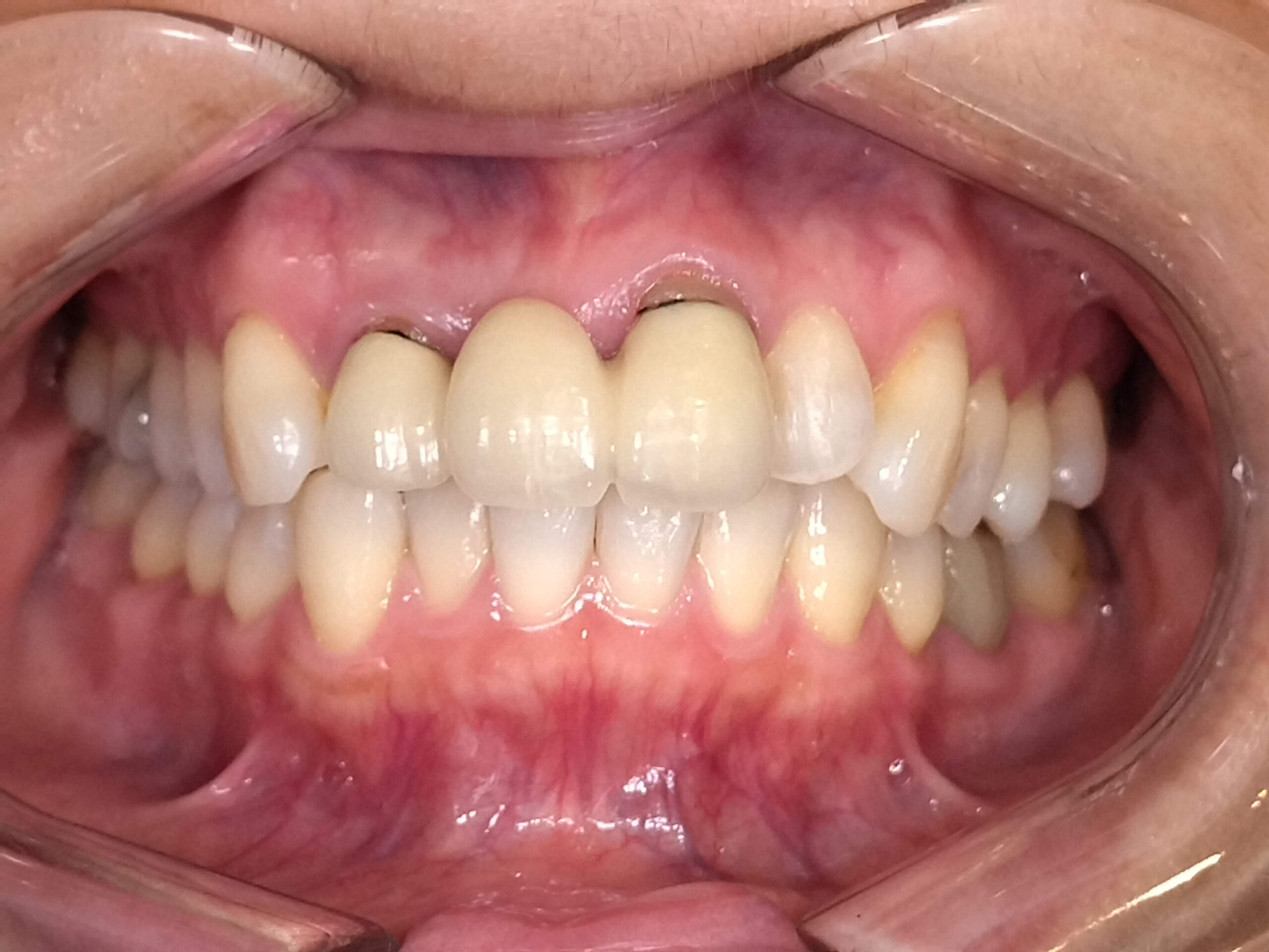
「ブラックマージン」とは、差し歯や被せ物(クラウン)と歯ぐきの境目が黒く見えてしまう状態のことを指します。
笑ったときに歯ぐきのラインが黒く見えるため、見た目が気になるというご相談を多くいただきます。


なぜブラックマージンができるの?

ブラックマージンができる主な原因は次の3つです。

  1. 金属を使った被せ物の影響
     昔の治療では、金属の土台(メタルコア)や金属冠が一般的でした。
     その金属が歯ぐきの近くで透けて見えたり、経年劣化で金属イオンが溶け出して歯ぐきが黒ずむことがあります。

  2. 歯ぐきの退縮
     加齢やブラッシング圧、歯周病などで歯ぐきが下がると、もともと歯ぐきに隠れていた金属の境目が露出して黒く見えることがあります。

  3. セメントやマージン位置の問題
     被せ物と歯の境目(マージン)が歯ぐきの外に設定されていたり、接着剤が変色してしまうと、黒く見えることもあります。


ブラックマージンを改善する方法

現在では、金属を使わないオールセラミック治療が主流となっており、自然な見た目を再現することができます。

  • ジルコニアクラウンやe.maxクラウン
     白く透明感のある素材で、金属を使わないため歯ぐきが黒く見える心配がありません。

  • 歯ぐきのラインを整える処置(歯肉整形)
     歯ぐきが退縮して見た目が不揃いな場合、歯肉整形を併用してラインを整えることで、より美しい仕上がりにできます。


まとめ

ブラックマージンは、昔の金属治療によく見られる「見た目のトラブル」です。
最新のセラミック治療に置き換えることで、自然で健康的な口元を取り戻すことができます。
笑ったときに歯ぐきの黒ずみが気になる方は、ぜひ一度ご相談ください。

pagetop