
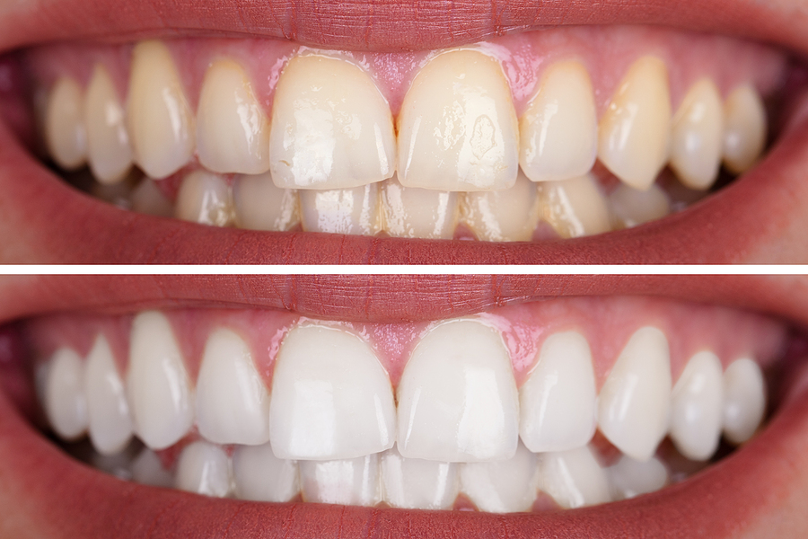
ホワイトニングで歯が弱くなることはありません
「ホワイトニングをすると歯がスカスカになったり、弱くなったりしませんか?」という質問をよくいただきます。
結論から言うと、正しい方法で行うホワイトニングで歯が弱くなることはありません。
ホワイトニングの仕組み
ホワイトニングは、歯の表面に付着した色素を薬剤の力で分解し、歯本来の明るさを引き出す方法です。
使われる薬剤(主に過酸化水素や過酸化尿素)は、歯のエナメル質の内部に入り込み、着色物質のみを分解します。
このとき、歯の構造そのものを溶かしたり、削ったりすることはありません。
一時的に「しみる」ことがある理由
ホワイトニング後に「少ししみる」と感じる方がいますが、これは薬剤が歯の表面にある微細なチャンネル(象牙細管)に一時的に作用するためです。
時間が経つと自然に落ち着き、歯が弱くなったり、虫歯になりやすくなったりすることはありません。
また、クリニックではしみを抑える薬剤(フッ素や硝酸カリウムなど)を併用することで、不快感を最小限に抑えています。
ホワイトニング後はむしろ「歯が守られやすい」
ホワイトニング後には再石灰化(歯の表面が自然に修復される働き)が起こりやすくなります。
さらに、施術後にフッ素を塗布することで歯の表面を強化できるため、むしろ虫歯や酸によるダメージに強くなることもあります。
安全に白い歯を保つために
ホワイトニングは、歯科医師や歯科衛生士の管理のもとで行うことが大切です。
市販の強い薬剤を自己判断で使うと、知覚過敏や歯茎の炎症を起こす可能性があるため注意しましょう。
歯科医院で行うホワイトニングなら、歯の健康を守りながら安心して白くすることができます。
まとめ
-
正しい方法で行えば歯が弱くなることはない
-
「しみる」は一時的で、歯の構造には影響しない
-
フッ素などの併用でむしろ歯が強くなる
-
安全に行うためには歯科医院での施術がおすすめ
ホワイトニングは“歯を削らずに白くできる”安全な方法です。
正しくケアを続けることで、健康で美しい笑顔を長く保つことができます。





