
歯の内部吸収とは?気づきにくい“歯の中から溶ける”病気

「歯の内部吸収」という言葉を聞いたことはありますか?
これは、歯の内側(神経のある空間)から歯質が溶けていく病気です。むし歯とは違い、外からではなく“内側から”進行するのが特徴です。
痛みが出にくく、レントゲンで偶然見つかることも多いため、知らないうちに進行しているケースもあります。
内部吸収とは?
歯の中心には「歯髄(しずい)」という神経や血管の通り道があります。
この歯髄に炎症が長期間続くと、内部で破壊細胞が活性化し、歯の内壁を少しずつ溶かしていくことがあります。これが「内部吸収」です。
通常、歯は自分で自分を壊さないようにコントロールされていますが、
- 強い外傷(ぶつけた)
- 深いむし歯
- 繰り返す刺激
- 過去の外傷の放置
などがきっかけで、このバランスが崩れることがあります。
どんな症状が出るの?
内部吸収は初期にはほとんど症状がありません。
進行すると、
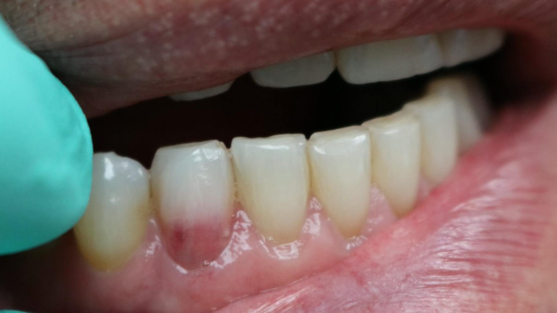
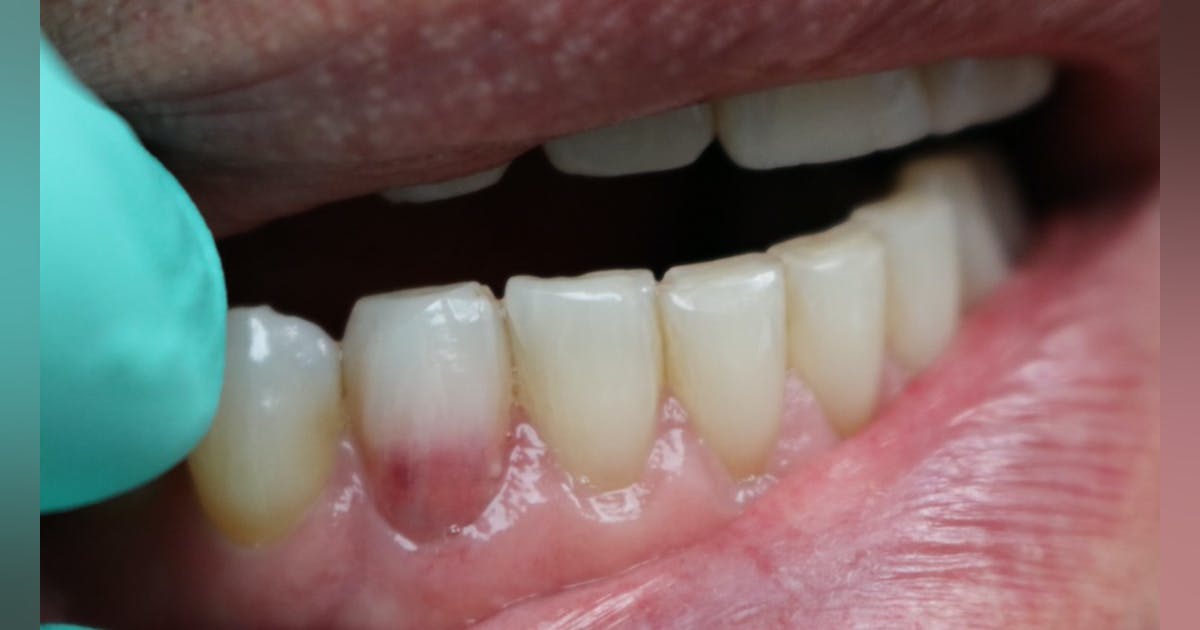
- 歯の一部がピンク色に見える(ピンクスポット)
- 歯ぐきの腫れ
- 噛んだときの違和感
- レントゲンで丸い透過像が見える
といった変化が出ることがあります。
特に前歯でピンク色に透けて見える場合は要注意です。
放置するとどうなる?
内部吸収が進行すると、
- 歯の壁が薄くなる
- 歯が割れやすくなる
- 最終的に抜歯になる可能性
もあります。
外から見た目がきれいでも、内側では大きく進行していることもあるため、定期検診でのレントゲンチェックが非常に重要です。
治療方法は?
治療の基本は**根管治療(神経の治療)**です。
炎症を起こしている歯髄を取り除き、内部の進行を止めます。
早期に発見できれば、歯を残せる可能性は高くなります。
ただし、吸収が大きく歯が薄くなっている場合は、補強や被せ物治療が必要になることもあります。
まとめ
歯の内部吸収は、
✔ 外からは分かりにくい
✔ 痛みが出にくい
✔ レントゲンでの発見が重要
という特徴があります。
「ぶつけたことがある歯」
「昔神経が弱っていると言われた歯」
がある方は、一度チェックをおすすめします。
当院では、ルーペや精密なレントゲン診断を行い、できる限り歯を保存する治療を行っています。
気になる症状がある方は、ぜひ一度ご相談ください。




